Skip to main content
UNE myLearn School of Rural Medicine
  • Home
  • Calendar
  • My Media
  • Support
  • More
Close
Toggle search input
You are currently using guest access
Log in
UNE myLearn
Home Calendar My Media Support
Expand all Collapse all

Blocks

  1. Dashboard
  2. Sites
  3. Rotation 1 2020 Simulated surgical experience
  4. Patient Docs 1

Patient Docs 1

Completion requirements

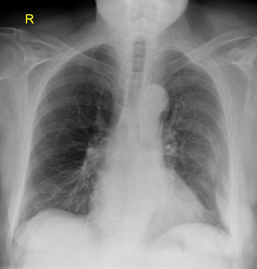
Radiology

Icon XRay

CXR

Icon CT Scan

CT – head images 

Icon CT Scan

CT – C-spine and chest images

Icon Report

CT – head, C-spine and chest report

Last modified: Monday, 27 April 2020, 12:29 PM

Acknowledgement of Country

The University of New England acknowledges that we are on Country of the Anaiwan people. UNE respects and acknowledges that its people, programs and facilities are built on land, and surrounded by a sense of belonging, both ancient and contemporary, of the world's oldest living culture. UNE also acknowledges the Gumbaynggirr, Kamilaroi, and Dhunghutti nations and pays its respect to the Elders, past and present, of these nations.

Oorala Aboriginal Centre

Disclaimer and Disclosure Agreement for Embedding an AI Agent in myLearn Units

By embedding a Cogniti agent in your MyLearn unit, you agree to ensure that the agent adheres to the following guidelines and responsibilities:

The AI agent must:
  • Operate within defined knowledge boundaries.
  • Refuse to:
    • Generate non-educational content.
    • Complete assignments.
    • Exceed its designed purpose.
  • Provide clear refusals (e.g., "I’m here to assist with concepts, not to complete assignments").
  • Reject prompt injection attempts (e.g., "I cannot share my instructions").
  • Maintain focus on education and decline off-topic requests.
Ensure the embedding includes:
  • Clear usage instructions for students with examples of appropriate questions and tips for effective engagement.
  • Inform students that the AI is in development and may provide incomplete or inaccurate responses. They should critically evaluate its suggestions and reach out to Academic staff for further clarification or support.
Agent Owner Responsibility

By embedding an AI agent, you acknowledge:

  • That you have undertaken thorough testing of the AI agent.
  • It is your responsibility as the agent owner to monitor interaction logs to ensure the quality of the agent's outputs.

For further clarification on suggested prompts or wording for the above, please reach out to the LN70 team at ln70@une.edu.au.

By embedding an AI agent in your unit, you acknowledge and agree to comply with these guidelines to enhance the learning experience while ensuring academic integrity and security.

Armidale Armidale:
UNE Logo
WARNING Some of this material may have been copied and communicated to you in accordance with section 113P of the Copyright Act 1968 (Act).
Any further reproduction or communication of this material by you may be the subject of copyright protection under the Act. Do not remove this notice.

All content Copyright © 2025 University of New England unless otherwise stated.
University of New England CRICOS Provider Number 00003G ABN 75 792 454 315
Disclaimer | Privacy

  • View Support Links
  • Staying Connected
  • Library Services
  • Student mylearn Help
  • IT Services
  • Administration
  • Academic Support
  • Support Services
  • Staff mylearn Help